Example 1
Example Instructions
Slide 1
A pap smear shows cells collected from a female cervix. It is used to detect cervical cancer or any abnormality that may lead to malignancy.
Slide 2
In this task, you will see a variety of pap smear slides. Your goal is to determine whether the cells are "benign" or "malignant."
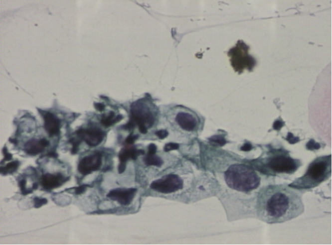
Slide 3
Here’s an example of benign cell findings.
Benign characteristics include large polygonal cells (superficial squamous cells) with abundant cytoplasm and small regular nuclei.
Slide 4
Here is an example of malignant cell findings. Malignant slides are ones that feature findings concerning for cancer or those that have dysplastic features.
Malignant characteristics include cells with irregular darkly-stained nuclei that are larger than normal nuclei.
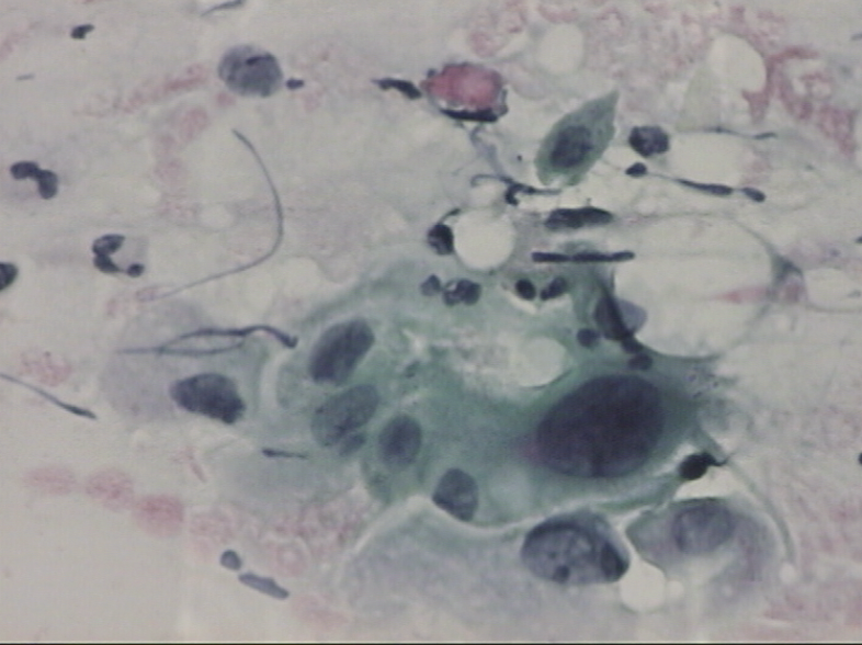
Slide 5
Here's another example of a malignant cell. This slide also shows malignant characteristics including large irregular darkly-stained nuclei.
Slide 6
George Papanicolaou (1883 - 1962) saved many lives by inventing the Pap Smear. It is your turn now to do your part and save lives.
Updated 8 months ago
